Пострадавший на тверском предприятии сварщик больше года проходит реабилитацию
Его травмы были серьёзными.
В сентябре прошлого года электросварщика придавило 960 килограммов арматурной проволоки на Тверском заводе ЖБИ-4. Работник до сих пор находится на лечении. Информацию сообщил в посте в соцсетях адвокат пострадавшего.
Той осенью Госинспекция труда в Тверской области провела расследование несчастного случая. Установили, что во время работы на сварщика покатилась бухта арматурной проволоки. Мужчина получил тяжёлую производственную травму.
Согласно выводам экспертов надзорного органа, основная причина ЧП – неудовлетворительные условия работы, нарушение Правил охраны труда при погрузочно-разгрузочных работах и размещении грузов.
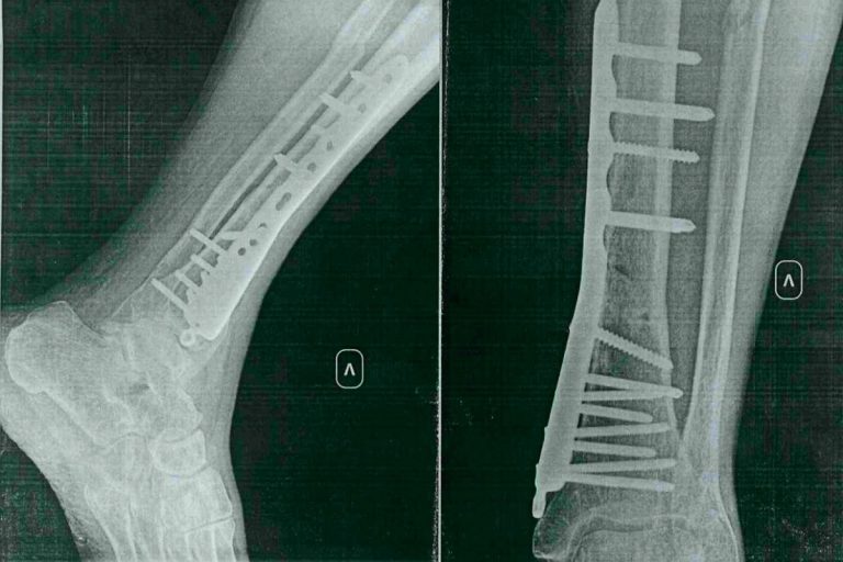
Как сообщил юрист, ведущий его дело, специалист получил открытый перелом нижней трети левой большеберцовой кости, средней трети левой малоберцовой кости, наружной лодыжки левой голени со смещением, поверхностный сухой некроз кожи нижней трети левой голени. Лечение и реабилитация продолжаются год и три месяца.

Из-за произошедшего директора предприятия привлекли к административной ответственности. Он заплатил штраф в размере 9,5 тысячи рублей. При этом адвокат указывает, что не была установлена тяжесть вреда здоровью его подзащитному.
«Работодатель вместо компенсации предложил наносить на ногу обезболивающую мазь, чтобы уменьшить страдания», – отмечает адвокат.
Дело рассматривают в Московском районной суде Твери. К произошедшему привлекли внимание СК и Генпрокуратуры РФ.







КОММЕНТАРИИ 0 Войти